نجاح جراحة دقيقة لإصلاح كسور مضاعفة بالوجه والفكين لمصاب في حادث سير بمستشفى قنا العام
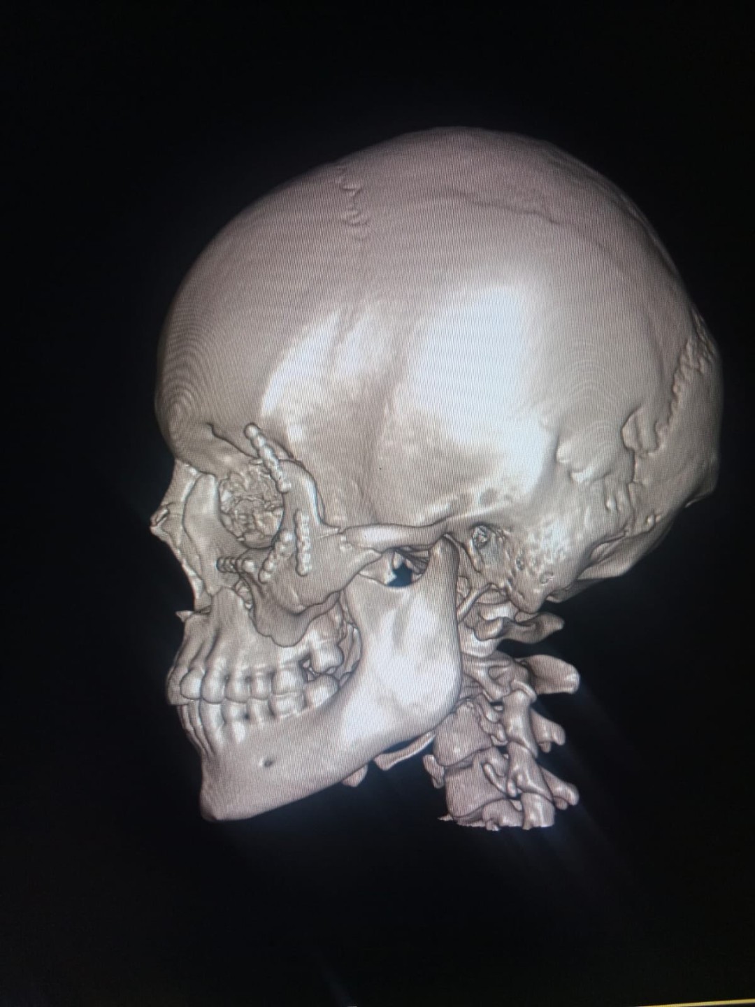
نجح فريق طبي بمستشفى قنا العام ، في إنقاذ مصاب إثر تعرضه لحادث سير أسفر عن إصابته بكسور مضاعفة بعظام الوجه والفكين، حيث تم على الفور إجراء الفحوصات والأشعات اللازمة التي أكدت دقة الحالة، ليتم التعامل معها بشكل عاجل من خلال تدخل جراحي متخصص.
تثبيت الكسور باستخدام شرائح ومسامير جراحية متناهية الدقة
وتمكن الفريق من إجراء عملية دقيقة لتثبيت الكسور باستخدام شرائح ومسامير جراحية متناهية الدقة، بما ساهم في إعادة استقرار عظام الوجه والفكين بصورة سليمة، مع الحفاظ على الوظائف الحيوية والشكل الجمالي.
وأكد الفريق الطبي ، أن الحالة شهدت تحسنًا ملحوظًا عقب الجراحة، وتم خروج المريض من المستشفى بحالة عامة جيدة، وسط متابعة طبية مستمرة.

وأضاف الدكتور محمد الديب، مدير مستشفى قنا العام، أن المستشفى تواصل تحقيق نجاحات متتالية في التعامل مع الحالات الحرجة والمعقدة، بفضل كفاءة الفرق الطبية وتكامل العمل بين مختلف الأقسام.
وأشار الديب، إلى أن الحالة كانت دقيقة وتحتاج إلى تدخل جراحي متخصص وسريع، وهو ما تم بالفعل من خلال فريق جراحة الوجه والفكين بالتعاون مع أقسام التخدير والأشعة، مؤكدًا أن توافر الإمكانيات الطبية الحديثة داخل المستشفى كان له دور كبير في نجاح العملية.
وأوضح مدير مستشفي قنا العام، أن إدارة المستشفى تولي اهتمامًا كبيرًا برفع كفاءة الخدمات الطبية المقدمة للمواطنين، خاصة في أقسام الطوارئ والجراحات الدقيقة، بما يضمن سرعة الاستجابة والتعامل الفوري مع الحالات الحرجة.

كما أشاد الدكتور محمد الديب، بجهود الفريق الطبي والتمريضي وجميع المشاركين في التعامل مع الحالة، مؤكدًا أن هذا النجاح يعكس مستوى التطور الذي تشهده المنظومة الصحية داخل مستشفى قنا العام.
ضم الفريق الطبي، أ.د الطيب عبدالرازق ، استشاري جراحة الوجه والفكين، ود. حماده الشيخ ، أخصائي جراحة الوجه والفكين، ود. رأفت القايد ، طبيب مقيم، و د. محمود محي، طبيب مقيم، و د. شوقي عادل، طبيب مقيم، وتحت إشراف فريق التخدير بقيادة د. عادل علي، رئيس العمليات، وبمشاركة د. إيليا.، كما شارك فريق الأشعة في سرعة ودقة التشخيص، وضم: أ. عبدالفتاح، أ. خالد أبو البراء.












